Tag: 精神科治疗技术
迷幻药物凯他明对小鱼的影响:抑郁症缓解的研究
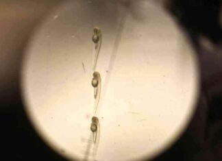
迷幻药物凯他明在小鱼身上的影响 在巴黎巴斯德研究所的实验室里,通过显微镜观察小鱼幼虫。 根据《神经元》杂志报道的一组研究,单剂麻醉剂凯他明可以为严重抑郁症患者提供数周的缓解。这一原因可能是该药物导致了与“放弃”相关的大脑回路的长期变化。 小鱼的抗逆性 研究小组发现,在斑马鱼身上,凯他明改变了这个回路,导致鱼类在面对逆境时坚持不懈,而不是变得消极。这种抗逆性似乎与称为星形胶质细胞的大脑细胞有关,这些细胞在“放弃”回路中发挥着核心作用。 小鱼与绝望 研究涉及小鱼幼虫,比大米粒还小,看起来像蝌蚪。 为了实验,科学家们必须让鱼保持静止,以便监测其大脑。然而,科学家们希望它感觉自己在游泳穿过虚拟世界。 团队通过投影图像来实现这一点,当动物摆动尾巴时,图像显示前进运动。然后他们切换到显示没有进展的图像,无论鱼怎么做。 这种“放弃”行为被用来测试动物体内的抗抑郁药物,尤其是老鼠。一种有希望的药物通常会导致动物在放弃之前挣扎更长时间。 星形胶质细胞的重要性 与此同时,研究人员使用高倍显微镜监测星形胶质细胞的活动。 这些星形状的大脑细胞支持并与神经元交流,这些细胞负责行为和思维。这些细胞的一个子集还充当主动和被动行为之间的开关。 当实验中的鱼发现自己的努力游泳是徒劳时,这个开关回路中星形胶质细胞的活动水平开始上升。 研究人员认为,凯他明可能会立即减少星形胶质细胞的活动。但事实却是相反的 - 起初如此。 “当我们急性地观察凯他明的作用时,我们发现凯他明实际上激活了这些星形胶质细胞,而其他药物则没有这样的效果,”哈佛大学的另一名团队成员杜克说。 但这种显著增加的活动仅持续不到一个小时,这段时间动物被凯他明的麻醉作用所制约。 药效消失后,星形胶质细胞的活动水平恢复到正常水平,并且在鱼类挣扎时也趋于保持在那里。 团队发现,凯他明对小鼠大脑中的星形胶质细胞产生了类似的效果。 这些结果表明,对这些细胞的长期变化可能是凯他明在一次剂量后数周继续缓解抑郁症的原因之一。 下一步是确定凯他明究竟如何改变星形胶质细胞的内部运作,使其对压力反应减少,阿伦斯说。在此期间,研究人员可能希望使用斑马鱼研究特定精神药物与大脑的作用方式。 “从机制上了解生物学对于药物发现也很重要。如果你知道工作原理,例如制造更有效的药物变体就更容易了。”例如,不带有扭曲思维副作用的凯他明版本。






